MGC-803 cell line人胃癌细胞株-BioVector NTCC质粒载体菌种细胞蛋白抗体基因保藏中心
- 价 格:¥9832
- 货 号:MGC-803 cell line人胃癌细胞株
- 产 地:北京
- BioVector NTCC典型培养物保藏中心
- 联系人:Dr.Xu, Biovector NTCC Inc.
电话:400-800-2947 工作微信:1843439339 (QQ同号)
邮件:Biovector@163.com
手机:18901268599
地址:北京
- 已注册
MGC-803 cell line
BioVector NTCC质粒载体菌种细胞蛋白抗体基因保藏中心www.biovector.net

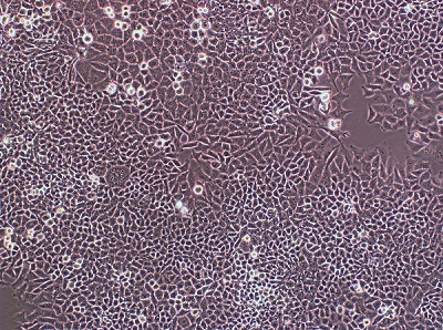
人胃癌细胞MGC-803
细胞描述:
人胃癌细胞MGC-803来源于人胃癌,用于胃癌方面的致病机理方面研究。
人胃癌细胞MGC-803增殖能力取决于细胞取材、培养技术、培养条件等综合因素。请按照正确的培养方法来解冻、传代,以此保证细胞具备良好的增殖能力,方便您的后继研究顺利进行。
质量控制:
本细胞经过了检测,不含有细菌、真菌、病毒(HIV、HBV、HCV)、支原体。
培养条件:
37℃,5% CO2,PH值7.2~7.4,无菌恒温培养。
用途:
本产品只提供给进一步的科研使用,不可应用于治疗等其他方面。
细胞相关操作:
细胞复苏
1.37°C水浴预热培养基(DMEM+10% FBS);
2.从液氮中取出细胞迅速放入37°C水浴快速解冻(解冻后不要继续暖细胞);
3.在超净台中加入5ml培养基重悬细胞,1000rpm离心5min;
4.弃上清,加入5ml培养基重悬细胞后转入T25培养瓶中,轻轻晃匀;
5.置于37°C,5% CO2培养箱中培养(培养瓶盖没有透气孔的话,瓶盖不要拧太紧);
6.第二天,用新鲜的培养基给细胞换液后继续培养。
细胞传代
1.当细胞融合度达到90%以上时,给细胞传代;
2.37°C水浴预热培养基(DMEM+10% FBS);
3.在超净台中,弃培养基,加入2-5mlPBS清洗细胞后,再加入1ml胰酶消化细胞;
4.显微镜下观察到细胞变圆,有细胞开始脱离瓶壁时,加入5ml培养基(DMEM+10% FBS)终止消化;
5.用移液器轻轻吹下瓶壁上剩余的细胞,并轻轻吹打将细胞吹散;
6.将细胞移入离心管中,1000rpm离心5min;
7.弃上清,加入15-20ml的培养基(含血清)重悬细胞后转入T75培养瓶中或按适当比例传到T25瓶中(确保细胞贴壁后融合度在25-50%之间),细胞密度在1×104 cells/cm2 (2.5×105 cells/T-25瓶),混匀细胞悬液,确保细胞均匀分布;
8.将培养瓶置于37°C,5% CO2的无菌培养箱中培养。
细胞冻存
1.37°C水浴预热培养基(DMEM+10% FBS);
2.消化细胞后给细胞计数:
1)洗净晾干血小板计数板和盖玻片,将盖玻片完全覆盖计数区;
2)充分混匀细胞,取少量(0.1-0.5ml)细胞悬液与等体积的染色液台盼蓝混合,移液器吹吸混合均匀,用移液器取20ul混合液从盖玻片两端(与中间凹槽平行的两端)分别打入细胞,以细胞悬液刚好浸湿盖玻片为佳;
3)显微镜下,数四个计数区的总细胞数,无活性细胞染成蓝色,活细胞不被染色;
4)细胞密度=细胞总数/4×10000×2;
这里10000是不变的,因为计数的细胞是在体积为1mm×1mm×0.1mm即10-4cm3计数池内,25px3=1ml,将四个计数区的细胞数除以4取平均数,乘2是补偿加等体积台盼蓝形成的稀释。
5)细胞活性=活细胞数/细胞总数×100%。
注:细胞密度高时,可调整细胞悬液和台盼蓝的比例,计数时乘以相应的稀释倍数即可。
3.当细胞密度达到传代密度且细胞活性在90%以上时,可以冻存细胞。
4.在超净台中将要冻存的细胞移入离心管,1000rpm离心5min。
5.弃上清,用90%培养液+10%DMSO的混合液重悬细胞,并调整细胞密度为1-3×106/ml。
6.将细胞悬液分装到冻存管中(1-1.5ml/管)。
7.将装有细胞的冻存管放入程序降温冻存盒,-20°C放1-2h后,-80°C过夜,然后快速转移到液氮中。- 公告/新闻




